詰め物・被せ物
銀歯を白く、歯の形を変えられる”審美歯科”

つめ物がとれた、歯が欠けた、歯の形を変えたい、銀歯を白くしたいなどのご希望に応えるのが審美歯科です。セラミック性の人工の歯でこのようなお悩みにお応えします。セラミックとはいえ、自然な色合い、質感で見た目は天然歯とまったく変わりません。
最短で当日中に白いつめ物・被せ物を入れることができます

セラミック歯のつめ物、被せ物を入れる場合は、まず歯を削って型を取り、その型を歯科技工所という製作工場のようなところへ郵送し製作してもらい、後日、歯科医院へ納品されてきた被せ物を患者様へ取り付けるというのが通常の流れです。ですので、削るまではご来院から当日中に行えたとしてもセラミック製の被せ物を入れるのは1~2週間後になり、その間患者様には仮歯でお過ごしいただくことになります。
しかし、当院ではCEREC(セレック)というCADCAM装置を導入しておりますので、院内ですぐにセラミック製の被せ物、詰め物を製作することができ、すべて院内だけで治療を完了させることができます。
セレックは対象となる歯を3Dスキャンすることで得たデータを元に、連携するセラミック削りだし装置によって、セラミックブロックから精密な被せ物を削り出す装置です。いわゆる3Dプリンタのようなものです。
削りだしから治療完了までにかかる時間もわずか1時間程度。最短で当日中に白いつめ物・被せ物を入れることができます(セレックについて詳しくはこちら)。
保険で白い被せ物か、セレックでつめ物か、どっち?
2017年12月より、条件が合えば4・5番目の歯の被せ物(クラウン)に限り、保険適用にて銀歯ではなく白い被せ物(歯科用プラスチックとセラミックの混合素材をセレックのような機械で削り出したもの)を入れられるようになりました。
銀歯がいやな人はすぐにでも保険で白い歯にしたい!と思われるかもしれませんが、1点注意するべき点があります。
保険が適用できるのは「被せもの(クラウン)」だけ、詰め物はNG
保険で白い歯を入れられるのは、「つめ物ではなく被せものだけ」です。よって、銀のつめ物が入っている人が歯を白くしたいなら、「多めに削って、白い被せものを入れる」か「最小限しか削らず白い詰め物を入れる」の2択になるわけです。よって、
- 多めに削って、白い被せものを入れる = 保険適用(被せ物)
- 最小限しか削らず白い詰め物を入れる = 自由診療(セレックまたは手作りの、つめ物)
となります。この2択の際、悩まれるは治療費の部分だと思いますが、できるかぎり余計に削らないことも非常に重要です。安易に削って白い被せものを選択するということには充分注意してください。
5年で再発する銀歯と虫歯の関係
虫歯治療で銀歯を使用した処置を行った場合、その歯は5年で再発すると言われています。
銀歯は金属と言う素材上の性質から、土台となる歯と、しっかり適合したつめ物・かぶせ物を作製するのが難しく、劣悪な口内での経年劣化から生じた隙間から虫歯菌が入り込み再発に至ります。
さらに、銀歯の内部で虫歯が進行するため、発見した時には神経に達している事や抜歯リスクが高まります。
金属を使用しない審美歯科治療を推奨
銀歯は汚れが付着しやすく、熱や酸などの刺激で成分が溶けだしアレルギーを引き起こしたり、虫歯の再発などのリスクが高くなるます。
すぎもと歯科では、患者様の健康面などに配慮した治療を心掛け、歯科治療ではお馴染みの銀歯や金属を使用しないメタルフリーでの処置をおすすめしています。
つめ物のパターン
虫歯で削った歯や欠けた歯を補うつめ物は、大きくわけて2種類あり、噛み合わせの状態や面積などにより使い分けます。
-
セラミックインレー
削った部分の型をとり、その型をもとにセラミック性のつめ物を作成、取り付けます。セラミック(陶器)性なので着色の心配や摩耗することはありません。 -
レジン充填
削った部分に歯科用プラスチックを流し込み、光をあて硬化させます。セラミックインレーとは異なり、その場ですぐ完成できます。着色や摩耗の恐れあり。
低侵襲での処置が可能なダイレクトボンディング
低侵襲での治療が可能なダイレクトボンディング法は、歯の欠損や治療後の経年変色などの審美修復に優れています。
直接患部に樹脂を盛って形成していくため、型取り不要で適合性の高い処置が可能です。
型取りが必要な補綴治療とくらべて再発率が低い事が特徴です。
かぶせ物のパターン
削った面積が大きい場合にはつめ物ではなく被せ物となります。大きく「金属を使用するもの」と「金属を一切使用しないもの」の2種類にわけられます。
-
セラミッククラウン
すべてセラミックでできたつめ物です。金属アレルギーの方はセラミッククラウンにすると良いです。高強度ではないため、奥歯には不向きで前歯に最適。 -
メタルボンドクラウン
金属の上にセラミックを接着したもので、高強度ですが、金属が溶け出し歯ぐきが黒ずむ原因になります。前歯など目立つ部分ではなく奥歯に使用します。
ラミネートベニア
ラミネートベニアは、いわゆる「つけ歯」です。つけ爪のように薄い歯のチップを作成し、歯の表面に接着させます。
ラミネートベニアはどのような形にも作れるため、歯の形を変えたい場合などに用いられます。特に前歯だけ気になっており、矯正治療をしたくないという方にはオススメです。
デメリットとしては、歯を少し削ることになることです。
すぎもと歯科の意識する”最高の審美歯科”のための”9つの基準”
すぎもと歯科では、美しい見た目の詰めもの、被せ物を製作するにあたり『9つの基準』を設けております。『細部をどこまで追求できるか』が美しく自然な審美歯科において重要な点だと考えております。この基準にそって製作することで患者様にピッタリあった補綴物(つめ物・かぶせ物)をお作りします。
-
黄金比
歯の形、位置における前後左右のバランスを適切に配置します。 -
性別
性別にはに歯の特長があります。男性らしさ、女性らしさを意識。 -
肌色とのバランス
患者様の肌の色との調和を意識し、補綴物に色付けします。
-
スマイルライン
笑顔をより美しく表現するための歯列のラインを構築します。 -
素材、材料
セラミックの種類は多数。機能、見た目ともに最適な素材をご提案。 -
歯の形
患者様の歯列、口元全体の印象にあった歯の形を形成します。
-
お顔全体のバランス
身体の真ん中である正中に対してシンメトリーに製作します。 -
細部への作り込み
色のグラデーション、細かな溝などリアルと見分けがつかないように。 -
年齢
20代と50代の歯形、色は全然違います。ご年齢にあった特長づけを。
快適な状態を維持するための当院のこだわり
-
徹底した咬合調整
補綴物(つめ物・被せもの)の長期的な維持を考えた時に、正しい嚙み合せは大変重要になってきます。
咬み合わせが適切でないと補綴物や健康な歯に負担がかかり過ぎてしまい、欠損する可能性が高くなるため、細部まで確認しながら咬合調整を徹底しています。 -
適合性の高さを左右する歯肉圧排
被せ物の長期維持を可能にするためには、土台となる歯としっかりフィットする事が大切です。当院では適合性を高めるために歯肉圧排を行い、型取りをしています。歯肉圧排とは、歯と歯肉の間を糸で押し下げ歯肉に覆われてる歯を一時的に露出させる処置です。この処置を行なう事で歯肉縁下までしっかり型が取れて精度の高いかぶせ物が作製可能となります。
審美歯科のリスク・副作用・注意点
- 過度な咬合力や咬み合わせが原因で補綴物が破損、脱離をする場合があります。
- 審美歯科には自由診療のメニューがあります。
- 金属を含む補綴物の場合は金属アレルギーの原因になる場合がございます。
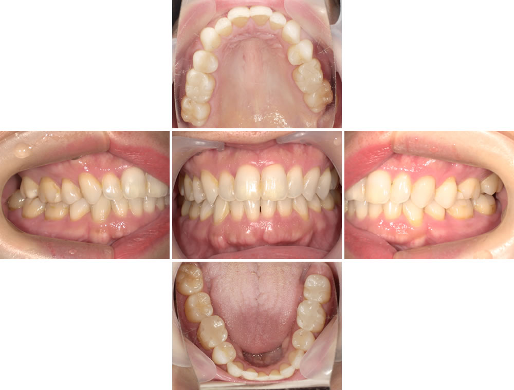
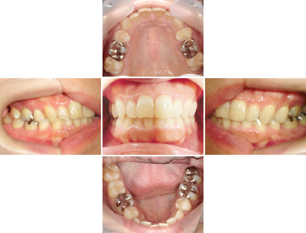
目立つ銀歯をオールセラミックインレーに変更した審美治療症例
こちらの患者さまは、銀歯のつめ物をセラミックに変更したいとの主訴で来院されました。
支台形成・型取り
当該歯の銀歯を外し、形を整えた後にシリコンで型取りをします。
シェードテイキング
完成した詰め物の調整・前処理
くっつきをよくするために詰め物と歯に接着剤を塗った後、詰め物に接着セメントをつけます。
詰め物の接着・かみ合わせの調整
LEDライトで接着します。その後、かみ合わせのあたりが強いと印がつくカーボンの紙をかんでもらい、かみ合わせを確認します。最後に研磨して詰め物をつるつるにします。
治療完了
天然歯を見分けがつかないほど、自然な仕上がりになり、患者さまにも満足いただけました。
| 年齢・性別 | 40代 男性 |
| 治療期間 | 2週間 |
| 治療回数 | 2回(60分) |
| 治療費 | 49,500円(税込) |
| リスク・注意点 | ・透明度が高く、審美性に優れているが、局所的な強い衝撃には弱く、割れる事が有ります。 ・神経近くまで修復の場合、痛みが数週間続く事があります。 ・銀歯よりも厚みが必要なため、歯質を削る必要があります。 |
目立つ銀歯をジルコニアインレーに変更した審美治療症例
銀歯の除去・支台形成
入っている銀歯を外し、形を整えます。
口腔内スキャナーによる型取り・かみ合わせ確認
口腔内スキャナーiTeroで3Dスキャンして精密な歯型を取ります。
かみ合わせをスキャンしてかみ合わせのバランスを確認して型取りは完了です。後日セットします。
完成した詰め物の調整・前処理
土台の歯との適合性をよくするため、詰め物と歯に接着剤を塗った後、詰め物に接着セメントをつけます。
詰め物の接着・かみ合わせの調整
LEDライトで接着していきます。かみ合わせのあたりが強いと印がつくカーボンの紙を噛んでもらってかみ合わせを確認します。かみ合わせの調整後に研磨して詰め物をつるつるに仕上げます。
治療完了
| 年齢・性別 | 50代 女性 |
| 治療期間 | 2週間 |
| 治療回数 | 2回(60分) |
| 治療費 | 60,500円(税込) |
| リスク・注意点 | ・割れにくい硬度が高い素材なので、噛みあう歯が摩耗したり、ダメージを受ける可能性があります。 ・セラミックよりも透明感が少なく、審美性に限界があります。 ・神経近くまで修復の場合、痛みが数週間続く事があります。 |
江戸川区でつめ物・かぶせ物の審美歯科治療をご希望の方へ

当院では、以前治療した銀歯のつめ物やかぶせ物が気になる方や、歯の欠けや咬み合わせを直したい方に、見た目だけではなく、機能性や耐久性なども考慮した審美歯科治療を実施しています。
患者様1人1人の口内状況や予算に応じた最適な素材・治療をご提供致します。審美歯科治療をご検討中の方は、ぜひすぎもと歯科までご相談下さい。
























