矯正歯科・小児矯正
すぎもと歯科の矯正治療が大人気の理由
すぎもと歯科では小児矯正、大人の矯正治療を多数行なっております。患者さまから喜ばれている理由を3つご紹介します。
江戸川区船堀のグループ歯科医院でも歯科矯正治療が受診できます
当院は、江戸川区篠崎(すぎもと歯科)と船堀(ファミリア歯科)で、2つの歯科医院を運営しております。
どちらのクリニックでも同じ条件にて歯列矯正治療を受診することができますので、船堀方面にお住まいの方は画像をクリックして、ファミリア歯科のHPをご覧下さい。
日本矯正歯科学会認定医が行う精密矯正治療
はじめまして、すぎもと歯科矯正担当医です。矯正治療は治療期間、治療費など患者さまに負担の多い分野です。矯正医はそんな患者さまのがんばりを真摯に受け止め、治療結果でお返しするのが義務です。見た目が良くなるだけの治療はいたしません。長期的な噛み合わせの調和、お顔とのバランスなど大きな視野で見た精密治療を行います。
矯正に関する無料相談実施中!

矯正歯科認定医が矯正治療相談にお応えます。相談料は0円。相談料をいただきませんので、治療費、治療期間、抜くべきか、抜かないべきかんどお気軽にご相談下さい。
※セカンドオピニオン対応。他医院で相談された場合も当院に相談可能です。
リーズナブルな矯正治療費
小児矯正 385,000円+調整料5,500円(ともに税込)
当院の小児矯正は385,000円(税込)とリーズナブルな治療費にてご提供しております(毎月の調整料は別途5,500円(税込))。また、デンタルローンによる分割払いも承っておりますので下記のようなお支払いも可能です。
デンタルローンでの支払(参考)
- 6回払い → 初回:65,082円 2~6回目:65,000円
- 12回払い → 初回:33,632円 2~12回目:32,800円
- 24回払い → 初回:16,877円 2~24回目:16,800円
- 36回払い → 初回:13,296円 2~24回目:11,400円
成人矯正(ワイヤー矯正)770,000円+調整料5,500円(ともに税込)
当院の大人の矯正(ワイヤー矯正)は、770,000円(税込)とリーズナブルな治療費にてご提供しております(毎月の調整料は別途5,500円(税込))。また、デンタルローンによる分割払いも承っておりますので下記のようなお支払いも可能です。
デンタルローンでの支払(参考)
- 6回払い → 初回:130,164円 2~6回目:130,000円
- 12回払い → 初回:66,165円 2~12回目:65,700円
- 18回払い → 初回:44,620円 2~18回目:44,800円
- 24回払い → 初回:33,775円 2~24回目:33,600円
- 36回払い → 初回:23,093円 2~24回目:22,900円
成人矯正(マウスピース型矯正インビザライン) 990,000円+調整料5,500円(ともに税込)
当院の大人の矯正(マウスピース型矯正インビザライン)は、990,000円(税込)とリーズナブルな治療費にてご提供しております(毎月の調整料は別途5,500円(税込))。また、デンタルローンによる分割払いも承っておりますので下記のようなお支払いも可能です。
デンタルローンでの支払(参考)
- 6回払い → 初回:167,568円 2~6回目:167,100円
- 12回払い → 初回:84,755円 2~12回目:84,500円
- 18回払い → 初回:58,340円 2~18回目:56,900円
- 24回払い → 初回:43,425円 2~24回目:43,200円
部分矯正(マウスピース型矯正インビザラインiGo) 上下顎440,000円(税込)
当院の部分矯正(マウスピース型矯正インビザラインiGO)は、上下顎440,000円(税込)とリーズナブルな治療費にてご提供しております。また、デンタルローンによる分割払いも承っておりますので下記のようなお支払いも可能です。
デンタルローンでの支払(参考)
- 6回払い → 初回:74,308円 2~6回目:74,300円
- 12回払い → 初回:38,200円 2~12回目:37,500円
目立たない矯正という選択肢
”歯の矯正=目立ってカッコ悪い”
こんなイメージをお持ちの方が多いと思います。たしかに金属の一般的な矯正装置はいかにも矯正をしていますという目立つ装置をつけます。
しかし、すぎもと歯科では目立たない矯正装置を取り揃えており、「目立たない歯並びの矯正」が可能です。
透明なマウスピースタイプ、歯の裏側につけるタイプ、透明な装置など矯正していることがわかりづらい目立たない、快適な矯正装置をご紹介します。
マウスピース矯正(インビザライン)
透明なマウスピースを使用します。2週間毎にマウスピースを取り替え少しずつ歯を動かします。
大きな特徴として、目立たず、自分で脱着でき、食事も歯磨きもいつもどおりできるという新しいアプローチの歯科矯正として、世界中で注目されており、すぎもと歯科で1番人気の矯正装置です。

前歯の部分矯正にはインビザラインGO(iGO)
当院では、前歯の部分的な矯正治療に特化したインビザラインGO(iGO)での矯正も可能です。
左右前から4番目までの前歯(上下16本)の歯並びが適応範囲です。全顎矯正に比べて、動かす歯が少ないため、矯正期間が短く、費用も抑えることができます。
前歯の隙間、歯並びが気になる方などにおすすめです。
| メリット | ・透明で目立たない ・取り外しが可能(1日20時間程度装着) ・金属アレルギーの心配がない ・矯正治療完了の予想図が3Dで最初に確認できる |
| デメリット | ・成人の矯正のみ対応 ・歯を大きく動かす必要のある症状には不向き |
インビザラインは現時点で日本の『医療機器としての矯正装置』として薬事承認がされていない(マウスピースの製作自体を日本で、かつ、歯科医師・歯科技工士が行はないため)ので、医療機器法対象外であり、医薬品副作用被害救済制度の対象外の場合があります。
口腔内スキャナー「iTeroエレメント5D」による精密な型取り
すぎもと歯科では、口腔内スキャナー「iTeroエレメント5D」を導入しています。
iTeroエレメント5Dは、お口の中をスキャンするだけでインビザラインのマウスピース作成やシミュレーションの際に必要となる精密な口腔内データを短時間で採取することができます。
従来の粘土のような型取りの材料を使用しないため、嘔吐反射が強い方も不快感を感じることなく矯正治療が可能です。
裏側矯正(舌側矯正)
一般的な矯正装置は歯の表側表面に取り付けますが、裏側矯正(舌側矯正)は歯の裏側にとりつけます。
歯の表側には何も装着しないため、正面から見ても矯正していることがわかりません。モデルさんや芸能人などに多い矯正タイプです。また、ビジネスマンも含め、他人に矯正しているところを見られたくない方に最適です。

| メリット | ・正面から見て矯正していることがわからない |
| デメリット | ・話しづらい場合がある ・一般的な表側矯正よりも治療費、期間が多めにかかる |
クリアータイプの透明な矯正装置
矯正装置に金属ではなく、単結晶サファイアを使用した透明な矯正装置です。無色透明ですので目立ちづらいです。
裏側矯正、マウスピース矯正に比べ安価で治療することができます。
| メリット | ・矯正装置自体が透明なので目立ちづらい ・すべての歯並びに適用できる |
| デメリット | ・裏側矯正、マウスピースよりは目立つ |
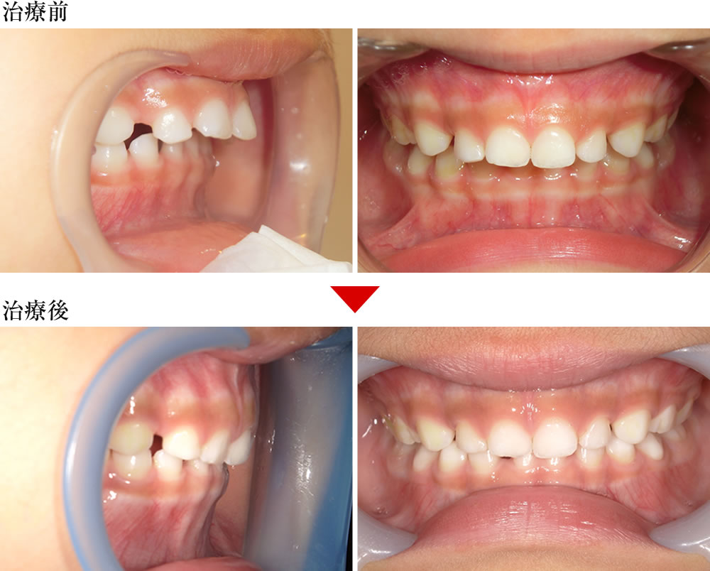
インビザラインGOで空隙歯列を改善した症例
こちらの患者さまは、前歯の空隙歯列(すきっ歯)を治したいとの主訴で来院されました。患者さまと相談し、マウスピース型矯正装置「インビザラインGO」を使用して歯並びを改善する計画を立てました。
インビザラインGOによる矯正治療の開始
歯の表面に樹脂製のポッチ(突起)を装着します。これは、歯に加える力を補助したり、マウスピースの浮きを防止したりするためのものです。
※治療終了後には、ポッチは取り外します。
マウスピースのお渡し・矯正治療開始
矯正治療開始から1ヵ月半後
矯正治療開始から1ヵ月半が経過した時点での歯並びの状態です。この段階で、前歯の隙間(すき間)がほとんど気にならない程度まで改善されています。
さらに継続して、理想的な歯並び・咬み合わせに近づけていきます。
矯正治療開始から4ヵ月後・治療完了
矯正治療開始から4ヵ月後の歯並びの状態です。主訴である空隙歯列が改善されたため、矯正治療完了となりました。
| 年齢・性別 | 20代 男性 |
| 治療期間 | 4ヵ月 |
| 治療回数 | 8回 |
| 治療費 | 440,000円(税込) |
| リスク・注意点 | ・歯並びによってはできない場合がある ・矯正出来る歯が限られている ・飲食時に取り外さないといけない ・装着時間・方法を守らなければ効果が出ない ・マウスピースの管理は、患者さまご本人がしっかり行わなければならない ・海外でマウスピースを作製するので、検査から治療開始までの期間が長い(約1ヵ月程) |
小児矯正(子どもの歯科矯正)の目的
乳歯列期から永久歯列期にかけて行う子どもの歯科矯正(小児矯正)は大人の歯科矯正と比べて目的が大きく異なります。
成人矯正は歯並びをキレイに整え、かみ合わせを適切に調整することを目的としますが、小児矯正は顎骨の適切な成長を促すことが最大の目的であり、歯並び調整が目的ではありません。
顎骨が小さく、歯が並ぶスペースが狭いと永久歯が生えたときに歯並びが悪くなりますが、顎骨の大きさを適切に成長拡大することで、結果、抜歯をしなくてもキレイに歯並びが整うのです。また、歯並び以外にも小児矯正のメリットは多くあります。
歯並び以外の小児矯正を行う多数のメリット
- かみ合わせが適切に整えられ発音が良くなる
- 鼻腔(鼻の息が通る穴)が広がり、鼻炎、いびきの改善が期待できる
- 口ポカンを改善することができる
- 姿勢がよくなる
- いびきの改善により就寝時の眠りの質が向上することで、子どもの能力を最大限発揮させることができる(学力向上、運動機能向上、集中力向上などが報告されています)
こども(小児矯正)の矯正装置
子どもの矯正は、歯並びを変えるということではなく、アゴの成長を適正なものにするという目的で行います。
あごの成長にあわせて骨格の改善ができ、正しい歯ならびや咬み合わせを誘導できます。また、歯が生えかわる時期に合わせて永久歯を正しい歯ならびに誘導できるため、あと戻りが少なく抜歯の必要性も減ります。
プレオルソによって過蓋咬合を改善した症例
こちらの患者さまは、過蓋咬合(上下の前歯のかみ合わせが深く、上の前歯が下の前歯を大きく覆ってしまっている状態)が気になるとの主訴で来院されました。
親御さんを相談し、取り外し可能なマウスピース型矯正装置「プレオルソ」によって過蓋咬合を改善しました。
| 年齢・性別 | 5~6歳 男児 |
| 治療期間 | 1年 |
| 治療回数 | 12回 |
| 治療費 | 66,000円(税込) |
| リスク・注意点 | ・御家族とお子さんの協力が不可欠 ・装着時間が長いので、清掃性が悪いとカリエスリスクが上がる ・しっかり装着時間を守る必要が有る |
プレオルソによって上顎前突を改善した症例
こちらの患者さまは、上顎前突(出っ歯)が気になるとのことで来院されました。
診察の結果、プレオルソによる矯正治療を提案し、ご本人と相談のうえ矯正治療を開始しました。プレオルソは成長期の子どもに適したマウスピース型矯正装置で、歯並びだけでなく口周りの筋機能の改善も期待できます。
装置を継続的に装着していただいた結果、上顎前突が改善され、口元のバランスも整いました。
| 年齢・性別 | 4~5歳 男児 |
| 治療期間 | 1年 |
| 治療回数 | 8回 |
| 治療費 | 66,000円(税込) |
| リスク・注意点 | ・御家族とお子さんの協力が不可欠 ・装着時間が長いので、清掃性が悪いとカリエスリスクが上がる ・しっかり装着時間を守る必要が有る |
歯を抜くべきか、抜かないべきか?
「非抜歯矯正」、「抜歯矯正」という言葉があります。要は歯を抜いて矯正を行うか、歯を抜かずに行うかの違いです。
できることなら天然歯は抜かないほうが良いですが、明らかにアゴのスペースに歯が収まっていないケース、アゴの拡大をしても明らかに歯が収まらないことが予想される場合には、抜歯が必要になります。
詳細は検査をしてみないとなんとも言えないのですが、可能なかぎり抜歯を行わないようにしておりますが、このようなケースもあります。
歯科矯正において歯を抜かないためにできること(歯を並べるスペースづくり)
-
IPR(=ディスキング)

IPRは、歯の側面を削ってスペースを作る治療法です。人の歯のエナメル質は1~2mm程度の厚みがあり、そのうち0.2~0.5mm程度を削ります。この程度であればエナメル質を削っても、虫歯になりやすくなったり歯の寿命が減ることはありません。広く矯正治療で行われる治療法ですので、ご安心ください。 -
歯の遠心移動

もう一つスペースを作るために行われるのが、歯の遠心移動です。奥歯から順に奥側へ移動させていくことでスペースを作る方法です。顎骨にインプラントを埋入し、それをアンカーにして歯を引っ張ったり、インビザラインなどのマウスピース型の矯正装置を使用して歯を移動させます。
歯並びが悪い事で起こる影響について
歯並びが悪いと問題なのは、見た目だけに限っての事ではありません。歯並びと全身の健康は密接につながっています。原因不明の不調はもしかしたら歯並びに関係があるかもしれません。歯並びが及ぼす身体への悪影響を紹介いたします。
虫歯や歯周病になりやすくなる
歯並びが悪いと適切なブラッシングが出来ないため、汚れが溜まりやすくな虫歯や歯周病になりやすい環境になります。さらに、咀嚼がしっかり行われないと殺菌作用のある唾液の分泌が低下し、口臭発生などの原因にもなります。
構音障害が起こる
歯と歯の間に隙間がある場合や、歯が前に出ている場合などに歯間から空気が漏れる事で正しい発音が困難になる事があります。さらに発音には舌など動きも関係しているため、舌の動きを抑制するような歯並びでも正しい発音が難しくなる事があります。
咀嚼運動が十分に行われず消化などに支障をきたす
歯並びが悪い咀嚼能力が低下するため、固い物などが食べづらいと感じたり十分に咀嚼を行わずに飲み込む事が多く消化器官に負担をかける可能性が高まります。
人間関係にも悪影響を及ぼす可能性
歯科先進国などでは、歯並びは健康だけでなく自己管理などの一環として考えられています。昨今ではグローバル化が進み他国との交流も増加傾向にあるため、良好な人間関係を築くためにも歯並びなども重要と言えそうです。
江戸川区篠崎で矯正で不正咬合を改善されたい方は是非当院まで

江戸川区篠崎で、不正咬合に関するお悩みや矯正をご検討中の方は、ぜひ一度すぎもと歯科までお越し下さい。経験豊富な矯正治療の専門医が患者様に最適な矯正方法をご提案致します。矯正に関しての費用や期間など、ご不明な点は無料相談を実施しておりますのでお気軽にご相談下さい。






















